Xin giới thiệu và trao đổi với các bạn về các thông tin y học nói chung và lĩnh vực chấn thương chỉnh hình nói riêng. Đó là niềm say mê, là tình yêu mà cuộc sống đã đem lại. Hy vọng đây cũng là nơi vui chơi và hữu ích cho những ai có quan tâm. ĐÔI BÀN TAY CHÚNG TA LÀM BẤT CỨ VIỆC GÌ ĐỂ CÓ ĐƯỢC CẢM GIÁC VÀ SỰ KHÉO LÉO- Tăng Văn Thành
Thứ Ba, 29 tháng 10, 2013
Thứ Bảy, 26 tháng 10, 2013
VẾT THƯƠNG NGÓN TAY
| VẾT THƯƠNG BẨN, RÁCH MẤT DA NHAM NHỠ |
| MẶT GAN BÌNH THƯỜNG |
| GARO DỒN MÁU BẰNG BĂNG THUN |
| THÁO BỎ PHẦN BĂNG THUN DỒN MÁU, ĐỂ LẠI PHẦN GARO |
| VẾT THƯƠNG SAU KHI RỬA SẠCH, CẮT LỌC: MẤT DA, LỘ GÂN |
| PHẪU THUẬT XONG: NÚT KHÂU TỈ MĨ, CĂNG ĐỀU |
| DA KHÔNG BỊ CĂNG, NGÓN TAY GẤP LẠI ĐƯỢC NHƯ BÌNH THƯỜNG |
VÀ ĐÂY LÀ NHỮNG HÌNH ẢNH SAU PT MỘT NGÀY
| NGÓN TAY SƯNG NỀ ÍT, KHÔNG CÓ VẾT HẰNG CỦA NÚT CHỈ KHÂU |
Chủ Nhật, 20 tháng 10, 2013
TỔN THƯƠNG ĐẦU NGÓN TAY
Hôm nay (20/10/2013), chúng tôi tiếp nhận một bệnh nhân nữ từ Quãng nam vào tại Pleiku, Gia lai. Trước đây 1 tuần, bệnh nhân bị dập nát đầu ngón 2, 3 bàn tay trái, đã được phẫu thuật tại Quãng nam nhưng hiện tại đầu ngón tay vẫn còn thấy biến dạng, móng phập phồng, có dịch mủ chảy ra từ dưới móng, trên X quang ngay sau khi bị tai nạn và khi chúng tôi cho chụp lại film cho thấy dập đầu xương 2 ngón 2 và 3, đặc biệt ngón 3 đầu xương gãy lại di lệch xoay, nằm hẳn ở phía dưới của đoạn xương gần.
Với tổn thương như thế và tình trạng vết thương thế này nếu cứ để yên mà rửa vết thương và dùng thuốc thì khó khắc phục tình trạng nhiễm trùng vì dịch mủ đọng lại dưới móng không thể thoát hết ra được, đầu ngón 3 sẽ đau dai dẳng vì cục xương gãy nằm sai vị trí cứ RỤC RỊCH hoài và móng tay sau này rất có thể sẽ biến dạng.
Chúng tôi quyết định phẫu thuật lại cho bệnh nhân ngay sáng nay. Phẫu thuật được thực hiện với các kỹ thuật cơ bản:
-1. Cắt chỉ vết khâu, lấy móng ra và rửa sạch móng, rửa sạch các tổn thương.
-2. Nắn sửa lại xương gãy ngay ngắn
-3. Lắp lại móng đúng vị trí, đục các lỗ trên móng để dẫn lưu dịch
-4. Băng ép vừa phải để hạn chế máu chảy, hạn chế tụ dịch.
Đây là kỹ thuật cơ bản trong bất cứ tình huống nào mà tổn thương có dập đầu ngón như thế này. Thế nhưng có rất nhiều ca bệnh mà chúng ta đã thực sự không xử lý tốt. Điều đó có nhiều nguyên nhân, nhưng trong đó có phần lớn thuộc sơ sút của những người thầy thuốc.
HÌNH ẢNH TRƯỚC KHI XỬ LÝ LẠI
| Thêm chú thích |
| KHÂU SƠ SÀI, ĐỂ TỤ MÁU, NHIỄM TRÙNG DƯỚI MÓNG |
| NGÓN 2 LỘ CHÂN MÓNG LÀM CONG CỤP ĐẦU NGÓN |
HÌNH ẢNH SAU KHI XỬ LÝ LẠI
| MÓNG ĐƯỢC LẮP LẠI NGAY NGẮN CÓ ĐỤC LỖ Ở MÓNG CHO THOÁT DỊCH |
| SAU PT 2 NGÀY: ĐẦU NGÓN RẤT DỄ COI |
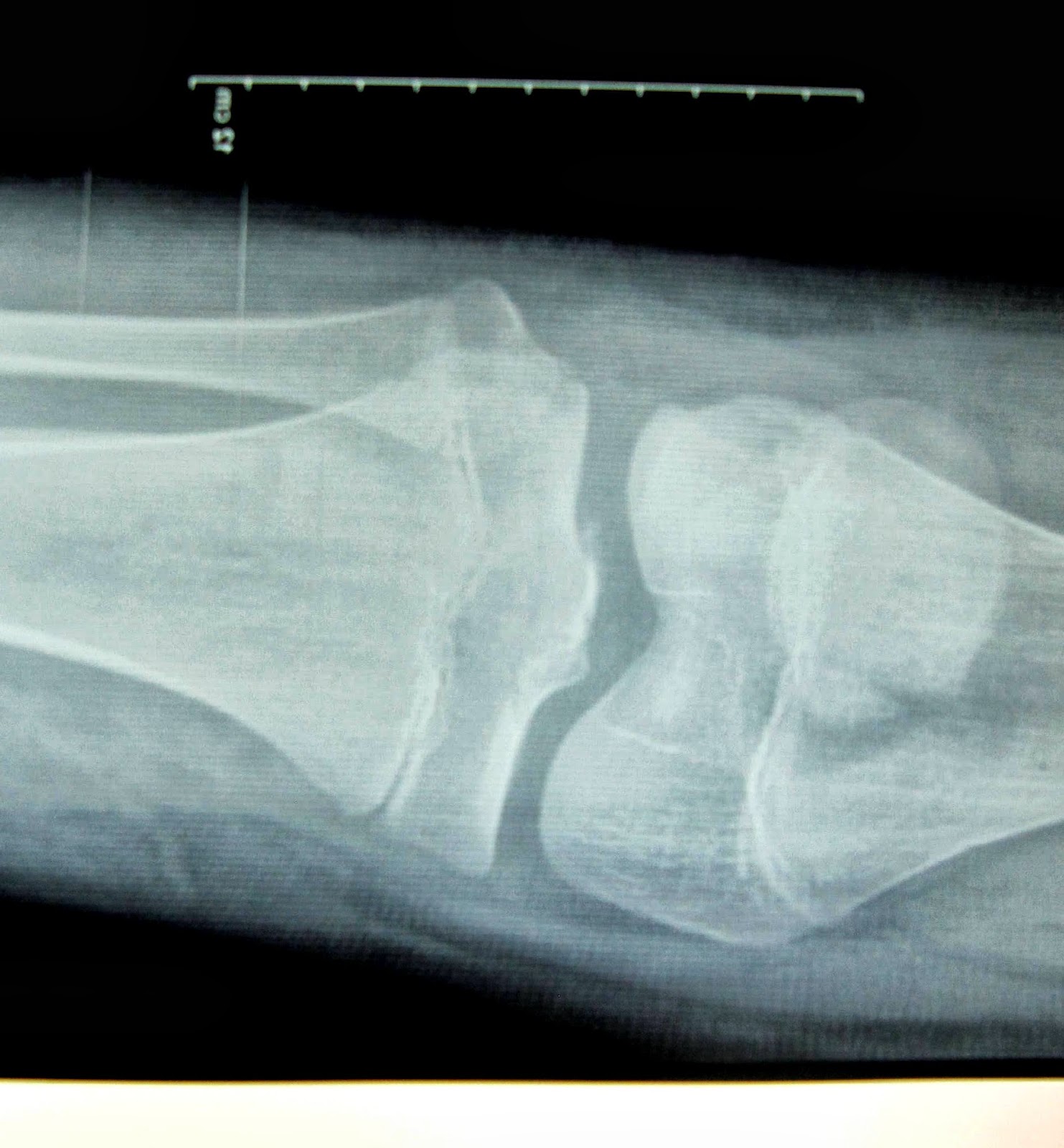
| X QUANG TRƯỚC PT: DẬP NÁT XƯƠNG ĐẦU NGÓN 2, 3. | ||
| NGÓN 3 ĐẦU XƯƠNG DI LỆCH NẰM PHÍA DƯỚI |
| X QUANG TRƯỚC PT LẠI: NGÓN 3 ĐẦU XƯƠNG BỊ XOAY |
| SAU PT LẠI: XƯƠNG GÃY HẾT BỊ XOAY |
| SAU PT LẠI: KHÓ NHÌN THẤY GÃY XƯƠNG ĐẦU NGÓN 3 |
ÍCH LỢI CỦA SỰ LẮP LẠI MÓNG TAY HAY GIỮ LẠI MÓNG KHI MÓNG BỊ BONG TRÓC:
-1. Móng cứng làm khuôn cho móng non sau này mọc ra, giữ độ trơn láng của móng ban đầu.
-2. Là chỗ dựa thuận lợi cho việc khâu đính lại mô bị rách nát.
-3. Đầu ngón đỡ đau, đỡ chảy máu khi thay băng.
-4. Đặc biệt khi có dập xương đầu ngón, móng như là cái nẹp làm vững đầu ngón, chờ đợi xương lành.
Thế nhưng, lắp lại móng thêm nguy cơ tụ dịch dưới móng và nhiễm trùng. Vì thế, chúng ta phải lấy móng ra rửa thật sạch, đục lỗ trên móng đủ rộng cho thoát dịch, khi thay băng chú ý xem có tụ dịch dưới móng không.
Thứ Bảy, 12 tháng 10, 2013
Thứ Ba, 8 tháng 10, 2013
GÃY XƯƠNG CẲNG CHÂN
| CHUẨN BỊ TRƯỚC MỔ |
Đây là trường hợp bệnh nhân nữ, 19 tuổi bị gãy kín 1/3 dưới thân 2 xương cẳng chân trái, kèm gãy mắt cá ngoài. Chiều ngày 8/10/2013, bệnh viện TP. Pleiku, tỉnh Gia lai đã tiến hành phẫu thuật cho bệnh nhân. Cuộc phẫu thuật kéo dài 2 giờ với kỹ thuật đinh nội tủy có chốt cho xương chày, kim Kirschner cho xương mác, cố định cả mắt cá ngoài bằng kim Kirschner và vis xốp. Đặc biệt đây là phẫu thuật kín dưới C-arm và trong đó có những kỹ thuật biến đổi. Ngay trong lúc mổ đã cho thấy một kết quả thật hoàn hảo như mong đợi.
| XQ TRƯỚC MỔ |
![]() |
| XQ SAU MỔ |
DƯỚI ĐÂY LÀ MỘT SỐ HÌNH ẢNH TRONG QUÁ TRÌNH PHẪU THUẬT
VÀ ĐÂY LÀ HÌNH ẢNH SAU PHẪU THUẬT
Đăng ký:
Nhận xét (Atom)


